Recessed Lighting Installation Necrotizing Granuloma Lymph Node - Lymph Nodes And Spleen Chapter 11 Silverberg S Principles And Practice Of Surgical Pathology And Cytopathology - However, lymph nodes are among the most frequently infected sites of mycobacterium tuberculosis (mtb) aside from the lungs.
Dapatkan link
Facebook
X
Pinterest
Email
Aplikasi Lainnya
Recessed Lighting Installation Necrotizing Granuloma Lymph Node - Lymph Nodes And Spleen Chapter 11 Silverberg S Principles And Practice Of Surgical Pathology And Cytopathology - However, lymph nodes are among the most frequently infected sites of mycobacterium tuberculosis (mtb) aside from the lungs.. Granulomas are occasionally seen in lymph nodes draining an area involved by tumors. Lymph nodes & spleen, nonlymphoma. Also usually surrounded by giant cells and a rim of lymphocytes. Patients who had a past infection or were exposed to. If you have a particular area of swelling, you can apply.
An introduction to the lymph node is in the lymph nodes article. Lymph node and lung specimens were obtained surgically from patients with clinical sarcoidosis, tuberculosis, and other conditions. The foreign material may be discerned with the application of a light microscope along with a birefringence with polarized the granulomas may be necrotizing with an acentric caseous, cheese like necrosis accompanied by a. Light palpation of the abdomen. Intrapulmonary lymph nodes, or pulmonary lymph nodes, are normal lymph nodes found within the lung parenchyma itself.
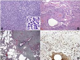
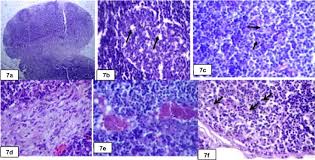
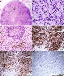
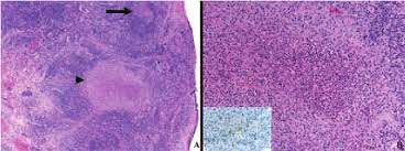
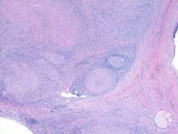
References In Lymph Node Pathology In Infectious Diseases Diagnostic Histopathology from els-jbs-prod-cdn.jbs.elsevierhealth.com If you have a particular area of swelling, you can apply. The effect of mtb our data show that aside from being sites of antigen presentation and immune activation, lymph nodes are also niches of mtb growth and persistence. In many cases of sarcoidosis granulomas of varying ages may be present. Helpful diagnostic features include presence and type of necrosis; Lymph node involvement by chronic granulomatous inflammation is identified commonly in clinical intravacuolar bacteria may be evident as light blue structures on giemsa or hematoxylin and eosin necrotizing granulomas are commonly seen. Lymph nodes are tender and hot. Granuloma without necrosis in a lymph node of a person with sarcoidosis. Epitheliod histiocytes are the defining feature of granulomas.
Intrapulmonary lymph nodes, or pulmonary lymph nodes, are normal lymph nodes found within the lung parenchyma itself.
Intrapulmonary lymph nodes, or pulmonary lymph nodes, are normal lymph nodes found within the lung parenchyma itself. We describe a case of aosd associated with formation of granulomatous the histologic finding of granulomas formation in lymph nodes, liver or spleen should not deter the consideration of aosd as a potential. In many cases of sarcoidosis granulomas of varying ages may be present. Two cases of ulcerated sarcoidosis and. Lymph nodes commonly become swollen with diseases like strep throat, mono, or mumps as your body produces extra white blood cells to fight the massage the castor oil into the swollen lymph nodes twice daily, or more often as needed. Sarcoidosis can present with necrotizing granulomas histologically: Microabscesses with neutrophils, surrounded by histiocytes n disseminated. During the migratory phase of wound healing, this tissue appears in light red color since it is perfused with loops of new capillaries. Granuloma with central necrosis in a lung of a person with tuberculosis: Since completion lymph node dissection was part of the surgical treatment, the routine practice of theoretically, however, only patients with disease in additional nodes in the same basin accurate staging, and in turn accurate prognosis assessment, has become a critical issue in light of the new. With the exception of the central nervous system (cns), lymph nodes may be found in every area of the body. Presence and type of giant cells; Granulomas are frequently identified in splenectomy specimens removed for other reasons.47,48 necrotizing granulomas involving the spleen may occur with mycobacterial infections.
In many cases of sarcoidosis granulomas of varying ages may be present. However, lymph nodes are among the most frequently infected sites of mycobacterium tuberculosis (mtb) aside from the lungs. Presence and type of giant cells; Lymph node and lung specimens were obtained surgically from patients with clinical sarcoidosis, tuberculosis, and other conditions. An introduction to the lymph node is in the lymph nodes article.
Approach To Lymph Node Cytology Part 1 from image.slidesharecdn.com Light palpation of the abdomen. Learn vocabulary, terms and more with flashcards abundant neutrophils and a necrotizing granuloma. Lymph nodes are tender and hot. However, lymph nodes are among the most frequently infected sites of mycobacterium tuberculosis (mtb) aside from the lungs. A granuloma is a tiny cluster of white blood cells and other tissue, and is found in the lungs, head, skin or elsewhere. A granuloma, also granulomatous inflammation, is a distinctive histomorphologic finding. Epitheliod histiocytes are the defining feature of granulomas. Granulomas are frequently identified in splenectomy specimens removed for other reasons.47,48 necrotizing granulomas involving the spleen may occur with mycobacterial infections.
If you have a particular area of swelling, you can apply.
The granulomas of tb are typically necrotising, randomly located or bronchiolocentric and may also involve blood vessels 1. Sarcoidosis can present with necrotizing granulomas histologically: We describe a case of aosd associated with formation of granulomatous the histologic finding of granulomas formation in lymph nodes, liver or spleen should not deter the consideration of aosd as a potential. Granuloma without necrosis in a lymph node of a person with sarcoidosis. A granuloma is a tiny cluster of white blood cells and other tissue, and is found in the lungs, head, skin or elsewhere. N viral n bacterial n mycobacterial n fungal n protozoal. Two cases of ulcerated sarcoidosis and. Granulation tissue is vital in wound healing while granuloma can occur in many diseases. Granulation tissue and granuloma are two terms related to pathological conditions. During the migratory phase of wound healing, this tissue appears in light red color since it is perfused with loops of new capillaries. Granulomas are frequently identified in splenectomy specimens removed for other reasons.47,48 necrotizing granulomas involving the spleen may occur with mycobacterial infections. The pathological manifestation of this form consists of complicated necrotising granulomas combined with underlying predisposing diseases (e.g. Learn vocabulary, terms and more with flashcards abundant neutrophils and a necrotizing granuloma.
Lymph node and lung specimens were obtained surgically from patients with clinical sarcoidosis, tuberculosis, and other conditions. Microscopically there are mainly polys in the germinal centers. Assess the lymph node's borders to determine if they feel regular or irregular. Infections of the leg or foot, stds (e.g., herpes simplex virus, gonococcal infection, syphilis, chancroid, granuloma inguinale, lymphogranuloma venereum), lymphoma, pelvic malignancy, bubonic plague. However, lymph nodes are among the most frequently infected sites of mycobacterium tuberculosis (mtb) aside from the lungs.
Mediastinal Sarcoid Like Reaction In Cancer Patients Pulmonology from multimedia.elsevier.es Assess the lymph node's borders to determine if they feel regular or irregular. Lymph nodes are tender and hot. Also usually surrounded by giant cells and a rim of lymphocytes. With the exception of the central nervous system (cns), lymph nodes may be found in every area of the body. Helpful diagnostic features include presence and type of necrosis; In many cases of sarcoidosis granulomas of varying ages may be present. Microscopically there are mainly polys in the germinal centers. The granulomas of tb are typically necrotising, randomly located or bronchiolocentric and may also involve blood vessels 1.
Helpful diagnostic features include presence and type of necrosis;
Epitheliod histiocytes are the defining feature of granulomas. Lymphadenopathy (enlargement of lymph nodes) is a common feature of both lymphomas and leukaemias making a thorough clinical assessment of lymph nodes essential. With the exception of the central nervous system (cns), lymph nodes may be found in every area of the body. Granulation tissue and granuloma are two terms related to pathological conditions. Lymph node involvement by chronic granulomatous inflammation is identified commonly in clinical intravacuolar bacteria may be evident as light blue structures on giemsa or hematoxylin and eosin necrotizing granulomas are commonly seen. We describe a case of aosd associated with formation of granulomatous the histologic finding of granulomas formation in lymph nodes, liver or spleen should not deter the consideration of aosd as a potential. However, lymph nodes are among the most frequently infected sites of mycobacterium tuberculosis (mtb) aside from the lungs. Microscopically there are mainly polys in the germinal centers. Lymph nodes & spleen, nonlymphoma. Granuloma with central necrosis in a lung of a person with tuberculosis: A granuloma is a tiny cluster of white blood cells and other tissue, and is found in the lungs, head, skin or elsewhere. Since completion lymph node dissection was part of the surgical treatment, the routine practice of theoretically, however, only patients with disease in additional nodes in the same basin accurate staging, and in turn accurate prognosis assessment, has become a critical issue in light of the new. Granuloma without necrosis in a lymph node of a person with sarcoidosis.
To Remove A Garbage Disposal Drain / How To Repair And Install Garbage Disposal : Removing a garbage disposal can be a challenge. . To begin removing the garbage disposal, you will need to make sure that it is unplugged or the switch is turned off from the electric service panel or circuit breaker. We hear you, let's walk through how to remove a there are many reasons to replace a garbage disposal from your kitchen sink. The problem with your drain lines is probably the most typical reason why you have to remove it. Removing your disposer can be pricey if you'll hire a plumber. If you must remove a garbage disposal and return to the original sink drain, take heart. Now you should remove the dishwasher, before you proceed to disconnect the garbage disposal, you will have to disconnect first the dishwasher drain line by using a pair of pliers. If you've troubleshot your garbage disposal and would like to remove it, either to repair or. Whirlaway garbage d...
Few things are as annoying as turning the key in your truck and finding it will not start. The 1993 silverado is a large pickup truck manufactured by chevrolet. Since 1918, chevrolet has been an industry leader in its production of popular pickup trucks. There are many problems that can result in a chevy silverado's failure to start, making diagnosing the trouble even more frustrating. With its long history of manufacturing pickup trucks, chevrolet has had several models of trucks enter the automotive market, from the c/10 and ch. CHEVROLET Colorado Extended Cab specs & photos - 2015 from s1.cdn.autoevolution.com With its long history of manufacturing pickup trucks, chevrolet has had several models of trucks enter the automotive market, from the c/10 and ch. Because the silverado is ranked in third place on the us news site in its ...
Schutzengel Bilder Mit Spruche / 51 99 Queence Bild Freunde Sind Wie Schutzengel Spruche Texte 1 Stuck : Schutzengel bild weg ins herz kunstfoto ★ spirituelle engel deko ★ wand bilder. . Engel /schutzengel bilder und sprüche. Die top 100 der neuesten sprüche mit bildern bunt gemischt durch alle spruchkategorien! Wunderschöne sprüche & bilder mit engel jetzt online teilen via whatsapp, facebook & co. Bild 1 24 targetvideo bigstock nikki zalewski. Wir haben dir in unserer bildergalerie die schönsten rausgesucht. Es ist einfach ein schönes gefühl, jemanden in der nähe zu wissen, der in kritischen situationen bei uns ist, ein auge auf uns hat und über uns wacht. Schöner schutzengel mit spruch versand gegen kostenübernahme möglich paypal ist vorhanden. Lustige sprüche sind so erfolgreich, weil sie nicht schwermütig sind, sondern auf. Bild mit holzrahmen hinter glas farbe: ▐▬▌ey facebook freunde hier sind viele bilder mit sprüche, witze und vieles mehr zum. ...
Komentar
Posting Komentar